Колоректальный рак или же, как его еще называют, рак толстой кишки, является третьим по частоте выявляемости видом рака у мужчин и вторым среди женщин. По данным ВОЗ ежегодно у двух миллионов человек выявляют рак толстой кишки, среди них более 800 тысяч случаев приводят к летальному исходу.
В настоящее время основанием для начала лечения является морфологическая верификация опухолевого процесса преимущественно по материалу эндоскопической биопсии толстой кишки. По словам экспертов, патологоанатомическое исследование достаточно субъективный процесс, основанный на распознавании в гистологических препаратах различных морфологических признаков, и судьбу пациента, как правило, решает один специалист. Из-за дефицита кадров врачей-патологоанатомов наладить систему референсных исследований всех биопсий – практически невыполнимая задача, с которой в будущем могут справиться компьютерные технологии. Если создать специализированное программное обеспечение, которое сможет с высокой точностью распознавать различные морфологические признаки опухолей толстой кишки, то такая система может стать независимым контролем качества прижизненных патологоанатомических исследований и, в случае расхождения врачебного диагноза и мнения компьютерной программы, решение должен принимать врач эксперт более высокого уровня.
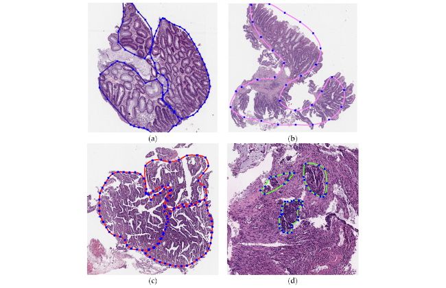
Ученые Международного исследовательского института интеллектуальных материалов ЮФУ разработали систему независимого контроля качества прижизненных патологоанатомических исследований биопсий опухолей толстой кишки, используя методы глубокого обучения, а именно предварительно обученных сверхточных нейронных сетей. Было доказано, что новый метод анализа отсканированных биопсий опухолей диагностирует типы онкологий с точностью до 96%.
Для решения задачи классификации фрагментов отсканированных биопсий использовалась идея трансферного обучения. Исследователи брали за основу предобученные на наборе данных ImageNet (база набора данных миллионов помеченных изображений с высоким разрешением, относящихся примерно к 22 тысячам категорий) глубокие нейронные сети и проводили дополнительное обучение на изображениях из базы WSI-изображений (изображение, созданное путем полной оцифровки стекла с разрешением до 200000 точек на дюйм), чтобы настроить эти сети решать медицинскую задачу.
«Разработка новых методов диагностики колоректального рака обременяет специалистов медицинской отрасли работой по сегментации. Глубокое обучение успешно применялось в вычислительной патологии в последние несколько лет для автоматизации этой задачи. Компьютерная программа может автоматически обрабатывать большие объемы WSI, не чувствуя усталости, таким образом, становясь полезным помощником искусственного интеллекта для медицинских работников», – рассказал инженер лаборатории технологий искусственного интеллекта и больших данных для нанодиагностики материалов МИИ ИМ ЮФУ Сергей Солдатов.
Применение глубокого обучения в диагностике колоректального или других видов рака имеет много преимуществ, например высокую скорость диагностики. Однако, некоторые типы рака встречаются очень редко, и у исследователей не было возможности научить нейросеть достаточно хорошо их диагностировать. Авторы надеются в будущем расширить базу данных для обучения и натренировать нейросети правильно классифицировать даже редкие виды онкологий.
Результаты исследования опубликованы в престижном научном журнале «Algorithms». Данная статья была отмечена редакцией журнала за высокую научную ценность и помещена на обложку журнала.

Комментарии
(0) Добавить комментарий